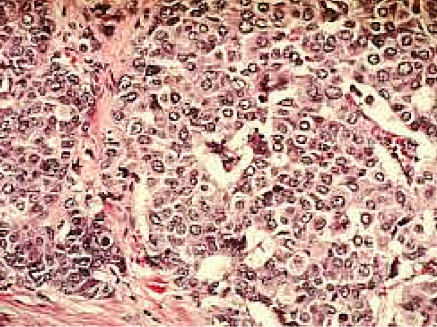
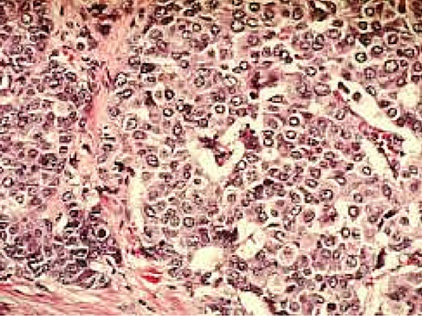
Negli ultimi anni sono state svolte numerose ricerche in ambito oncologico al fine di esaminare tracce di parabeni trovati nel tessuto canceroso mammario umano: sembra infatti che antitraspiranti, in particolare i sali di alluminio presenti all'interno dei deodoranti, possa aumentare lo sviluppo tei tumori mammari. Da un attento esame è infatti emersa la tendenza delle masse tumorali a svilupparsi in zone con alte concentrazioni di parabeni come il quadrante superiore del seno e nella zona ascellare, dove applichiamo i deodoranti contenenti sali di alluminio e parabeni.
Infatti "secondo uno studio condotto dall'Università di Reading (Regno Unito) e pubblicato nel gennaio 2004 sul Journal of Applied Toxicology (Darbre P.D. et al.), alcune sostanze chimiche contenute nei deodoranti, come ad esempio i "Parabeni", potrebbero favorire l'insorgenza di tumori al seno.
I parabeni sono esteri dell'acido para-idrossi benzoico e vengono impiegati per la conservazione dei prodotti cosmetici (Elder et al., 1984). Rappresentano, in particolare, le sostanze maggiormente presenti nei prodotti per l'igiene del corpo in quanto sono considerati tra i più efficaci agenti antimicrobici, attività che aumenta all'aumentare della lunghezza della loro catena esterea (Murrel et al., 1950). Il loro ampio utilizzo, inoltre, è dovuto al fatto che sono considerati, ormai da anni, composti innocui, ben tollerati dalla pelle e soprattutto attivi a basse concentrazioni (< 1%) (Elder et al. 1984).
L'allarme sulla loro potenziale pericolosità è stato diffuso in quanto i risultati dello studio condotto dall'Università di Reading hanno evidenziato che dei 20 campioni prelevati da donne con tumore al seno ed esaminati, ben 18 presentavano elevate tracce di parabeni, in particolare metilparabeni. Inoltre in quattro dei venti campioni la concentrazione totale di parabeni era di circa due volte superiore ai valori medi ritrovati nelle venti pazienti. Il loro potere cancerogeno deriva, come affermato da questo studio, dalla capacità dei parabeni di comportarsi come gli estrogeni (Routledge et al., 1998, Byford et al., 2002; Darbre et al., 2002, 2003), ormoni che le donne producono naturalmente dalla pubertà alla menopausa e che, assunti in grande quantità, potrebbero facilitare la proliferazione delle cellule tumorali. In particolare i parabeni oltre che legarsi ai recettori degli estrogeni sono anche in grado di regolare l'espressione dei geni (es. pS2) che mediano l'attività estrogenica (Byford et al., 2002).Il possibile legame tra l'utilizzo dei deodoranti e l'insorgenza di cancro al seno sembrerebbe, inoltre, riconducibile al fatto che i parabeni ritrovati nei campioni esaminati si presentano in forma esterea e non sotto forma di metaboliti, indicando che la loro penetrazione nell'organismo non è avvenuta per assunzione orale (Darbre et al., 2003, 2004). Inoltre poichè uno dei modi utilizzati dall'organismo per eliminare i prodotti tossici è la "traspirazione", i deodoranti impedendo, in parte questo fenomeno ridurrebbero l'eliminazione delle tossine attraverso le ascelle. Ciò provocherebbe, con il tempo, un loro accumulo a livello delle ghiandole linfatiche presenti sotto il braccio e quindi un primo passo verso la formazione di cellule cancerose (Darbre et al., 2003). Tutto ciò è anche confermato da osservazioni cliniche, pubblicate nell'arco di 10 anni, che mostrano che la maggior parte dei tumori si sviluppa a livello del margine superiore esterno del seno, cioè in corrispondenza della zona in cui viene maggiormente applicato il deodorante (Haagensen et al., 1971)." Cit da farmacovigilanza.org.
Come scrive il Journal of Biorganic Chemistry "l'alluminio è conosciuto per avere un profilo genotossico in grado di causare sia alterazioni del DNA sia effetti epigenetici, il che esprime il potenziale ruolo nel cancro al seno se si manifestano questi effetti all'interno delle cellule mammarie. Gli estrogeni hanno una riconosciuta influenza con il tumore mammario, e la loro azione (...) suggerisce un possibile punto di interferenza con l'alluminio. I risultati qui risportati dimostrano che l'alluminio sottoforma cloruro o di cloridrato di alluminio può interferire con la funzione dei recettori degli estrogeni del cancro al seno MCF7 (...). Questo aggiuge l'alluminio all'interno della lista di melalli capaci di interferire con l'azione degli estrogeni (...). "
Quindi quali deodoranti mi sento di consigliarvi?
1. I deodoranti Weleda: chi mi segue sa che Weleda è un'azienda che amo particolamente e che mi appaga sia a livello di efficacia e qualità sia a livello sensoriale. I Deodoranti Weleda impediscono in modo naturale la formazione dei cattivi odori senza alterare né compromettere le funzioni della pelle: non utilizzano sostanze antitraspiranti, ma unicamente oli essenziali in soluzione idroalcolica, che procurano una piacevole sensazione di refrigerio e benessere.
2. Dedorante Fantastika: è composto al 100% da principi attivi di origine naturale e dal 98% di ingredienti totali di origine naturale. Ccombatte i cattivi odori derivati dalla sudorazione, senza antitraspiranti, alluminio o alcol. I principi attivi contenuti sono antibatterici naturali, olio di argan*, estratto di salvia*, estratto di lichene islandico, estratto di echinacea*, olio di oliva idrogenato (* provenienti da agricoltura biologica).

Giulia Mandrino
Mamma Pret a Porter non è una testata medica e le informazioni fornite hanno scopo puramente informativo e sono di natura generale, esse non possono sostituire in alcun modo le prescrizioni di un medico o di un pediatra (ovvero un soggetto abilitato legalmente alla professione), o, nei casi specifici, di altri operatori sanitari (odontoiatri, infermieri, psicologi, farmacisti, fisioterapisti, ecc.) abilitati a norma di legge. Le nozioni sulle posologie, le procedure mediche e le descrizione dei prodotti presenti in questo sito hanno un fine illustrativo e non devono essere considerate come consiglio medico o legale.

